
A recent birthday gift included the book Sea Glass: New and Selected Poems by Luci Shaw. I have mentioned Luci in some recent posts. In these warm summer nights I am enjoying turning the pages, and almost every poem is one that I would love to share. My choice today is greatly influenced by the fact that a week from today I have a scheduled visit with a cardiologist. This is an annual visit to check that my mechanical heart valve, which was inserted in 2013, is in good working order! Obviously if it were not so, I would know about it! In the poem Echocardiogram Shaw describes a visit to a cardiologist with such accurate detail. Perhaps you can recall such a visit, and if not, then this will give you good warning! I hope you too, on a warm summer evening, can find a moment to be still, still enough to hear your own heart beat, still enough to ponder it’s rhythm, and it’s truth. With Shaw’s encouragement might you stop to listen deep enough!
Echocardiogram
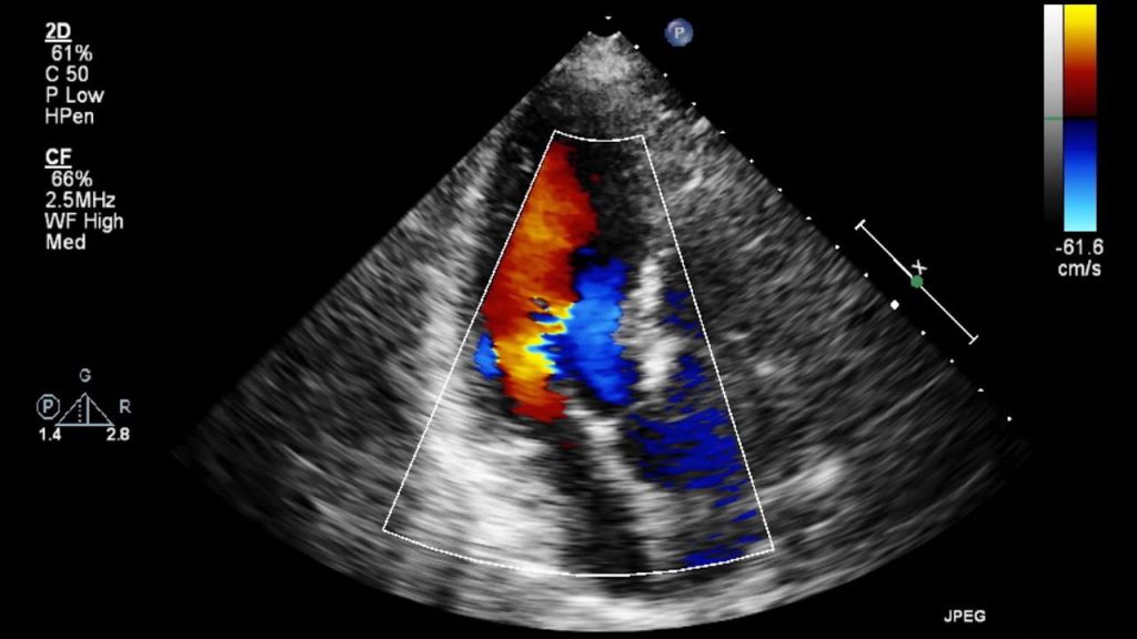
I am laid on a table, half-naked and uneasy,
a supplicant for truth. Tethered in place with
electrodes, flipped on my side, my left breast
smeared with cool gel, my torso penetrated by
a seeing eye at the end of an intelligent probe.
On a flat screen the habits of my essential organ
gleam; I meet my interior in a heat-to heart—-
my heart watching itself, its echoes, its peaks and
plains, this revelation in dark and light,
my lifelong intimate, I its codependent.
The screen pulses with inscrutable signals,
valves undulating like petals, caught in the winds
of blood. Fingers on a keyboard induce
sudden colors to fly across the screen, like
tropical birds. Crimson, indigo.
Without warning the machine growls in rhythm,
filling my ear with harsh gulps. This is what it always
sounds like, you realize, when you listen
deep enough. You have to know how to hear.
A heart wants to be heard, to tell its truth.
I have been uneven all my life. Is there a drug
for that? What of my other heart, prone to
fibrillations of impatience or inconstancy? What kind of
surgery do I pray for? In what operating theater?
What cardiologist God, wearing scrubs? Luci Shaw
Prayer:
Lord God,
today the words of Augustine
come to mind:-
– our hearts are restless until
they rest in you. –
I confess, all too often
I chase after temporary things,
when right in front of me is the
everlasting beauty, hope and love
of You, Creator God.
Help me to listen deep enough,
that I might hear your gentle whisper
and be embraced by your strong grace.
Holy God,
remind me to find and hold on to
the treasure of your love. May
the words of Matthew’s gospel offer me
a timely reminder ” for where your treasure
is, there your heart will be also.” Amen.
There is a profound difference between hearing and listening isn’t there. The poem defines this so well. Tonight I will hear fireworks in the distance, but I’ll be listening to the music we play to help calm our anxious dog. And, I am reminded of Rod McKuen’s “Listen to the Warm”. Happy Birthday, good luck at the Cardiologist visit, and you might consider printing off the poem and sharing it. A patient’s perspective can open the mind of a physician.
LikeLike